
Trước đó, ngày 23/12, bệnh nhân Lê Văn Đạt (67 tuổi, trú xã Lộc Hà, tỉnh Hà Tĩnh) xuất hiện tình trạng đau tức ngực trái, khó thở, mệt, được gia đình đưa vào Khoa Cấp cứu chống độc (BVĐK tỉnh Hà Tĩnh).
Khi vừa đến sảnh của khoa, bệnh nhân đột ngột ngừng tim, ngừng tuần hoàn. Ngay lập tức, các bác sỹ tiến hành cấp cứu ngừng tuần hoàn theo phác đồ, sau 5 phút cấp cứu tích cực, nhịp tim và mạch trở lại. Được biết, trước đó 5 ngày, bệnh nhân xuất hiện tình trạng đau ngực âm ỉ nhưng không đi khám.

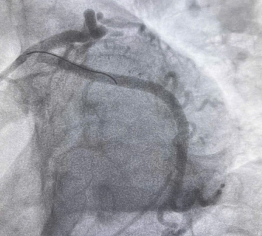
Bác sĩ Khoa Cấp cứu chống độc đã liên hệ hội chẩn Khoa Nội tim mạch, kết luận bệnh nhân bị nhồi máu cơ tim cấp vùng sau dưới và được chụp động mạch vành cấp cứu. Kết quả cho thấy bệnh nhân hẹp khít kèm huyết khối động mạch mũ (1 trong 3 nhánh động mạch vành) nên dẫn tới nhồi máu cơ tim vùng sau dưới.
Sau khi được can thiệp tái thông mạch vành, đặt stent cho bệnh nhân, động mạch mũ được thông tốt. Sau gần 1 tuần điều trị, bệnh nhân đã tỉnh táo, huyết động ổn định, tình trạng đau ngực không còn, có thể xuất viện trong vài ngày tới.
Khánh Trình

























